Mbështete KOHËN. Ruaje të vërtetën
Arbëri

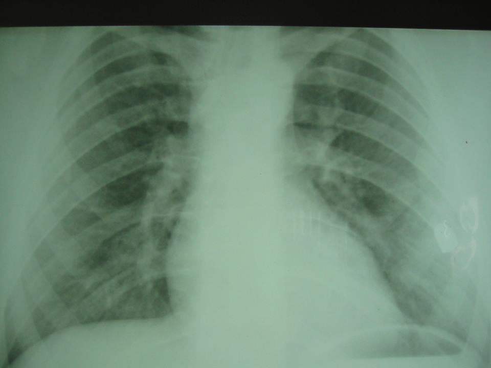
Operacion i rrallë në Kosovë, 20 vjeçarit i hiqet plumbi pa i prerë kraharorin

Një operacion i rrallë, madje i pari në Kosovë, është realizuar nga disa doktorë.

Ky operacion ka të bëjë me heqjen e plumbit nga kraharori, plumb i cili gjendej afër zemrës së një 20 vjeçari.

Mbështete KOHËN. Ruaje të vërtetën.

Gazetaria profesionale është interes publik. Mbështetja juaj ndihmon që ajo të mbetet e pavarur dhe e besueshme. Kontribuoni edhe ju. 1 euro e bën dallimin.

Letër lexuesit — pse po kërkojmë mbështetjen tuaj Kontribuo

Doktor Salih Krasniqi, përmes një postimi në facebook i ka treguar edhe fotografitë se si është realizuar operacioni.

Por ky operacion, është bërë pa u prerë fare kraharori dhe ka zgjatur vetëm 19 minuta.

Më poshtë keni postimi që e ka bërë doktor Salih Krasniqi: